Patient Resource Center

Treatment Gallery

Real Results, Whole-Body Health

At Well Being Dentistry, our greatest achievement isn’t just a beautiful smile—it’s the health and confidence our patients regain through biocompatible care. From life-changing airway transformations to mercury-safe restorations, we invite you to explore the stories and results of those who have joined our dental family.

Therapy Showcase

See how we combine aesthetic excellence with non-toxic, metal-free materials. Our therapy showcase mimics the physical and mechanical properties of natural teeth. Long-term follow-ups demonstrate the long-term stability of these biological materials, ensuring a healthy, functional, and beautiful smile for life.

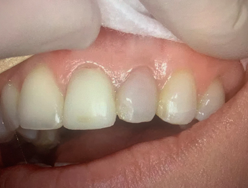
BEFORE - Resin Bonding
AFTER - Resin Bonding
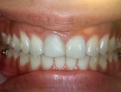
BEFORE - Resin Bonding
AFTER - Resin Bonding
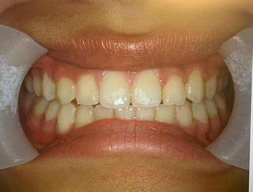
BEFORE - Resin Bonding to Improve Smile Line
AFTER - Resin Bonding to Improve Smile Line
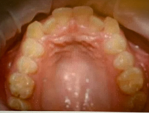
BEFORE - Invisalign Treatment (10 Months)
AFTER - Invisalign Treatment (10 Months)
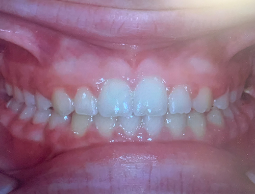
BEFORE - Braces Treatment (1 Year)
AFTER - Braces Treatment (1 Year)
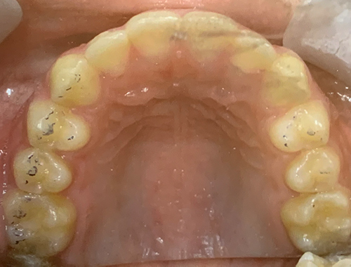
BEFORE - Invisalign Treatment (1 Year)
AFTER - Invisalign Treatment (1 Year)
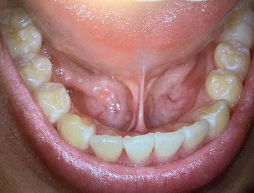
BEFORE - Laser Tongue-Tie Release (1 Week)
AFTER - Laser Tongue-Tie Release (1 Week)
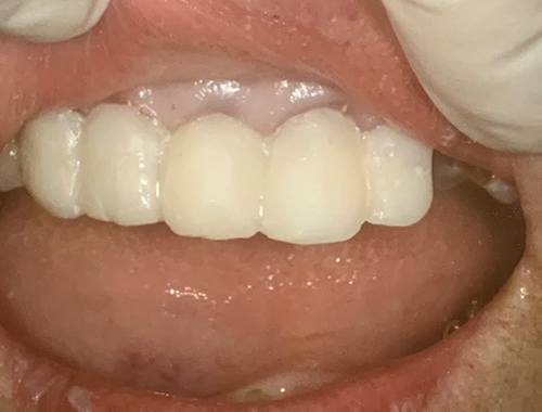
BEFORE - Immediate Tooth Replacement with Marilyn Bridge
AFTER - Immediate Tooth Replacement with Marilyn Bridge
BEFORE - Internal Bleaching (2 Weeks)
AFTER - Internal Bleaching (2 Weeks)
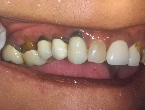
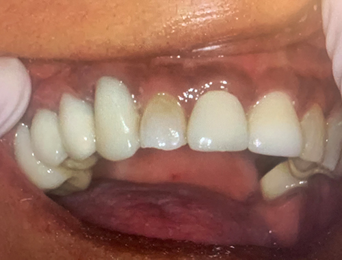
BEFORE - Resin Bonding for Stained Roots Below Old Crown Margins
AFTER - Resin Bonding for Stained Roots Below Old Crown Margins
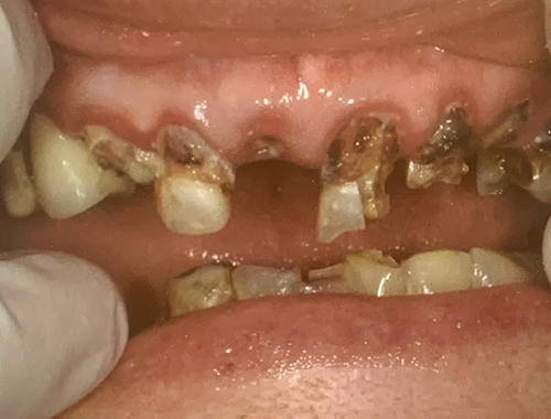
BEFORE - Dental Implant to Replace Broken Tooth
AFTER - Dental Implant to Replace Broken Tooth
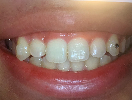
BEFORE - Veneers (Cosmetic Dentistry)
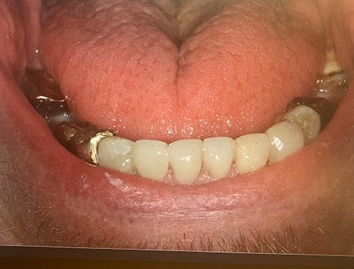
AFTER - Veneers (Cosmetic Dentistry)
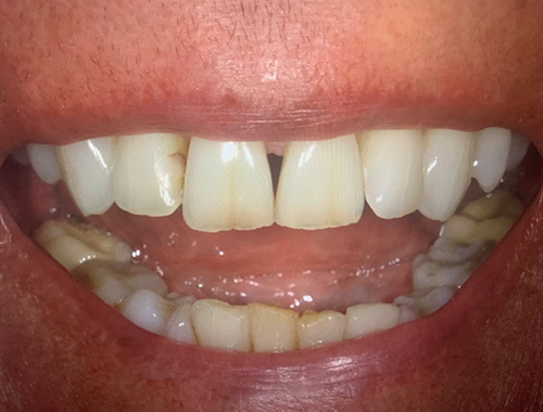
BEFORE - Diastema Closure with Braces (1 Year)
AFTER - Diastema Closure with Braces (1 Year)
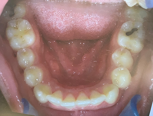
BEFORE - Braces (18 Months)
AFTER - Braces (18 Months)

What Our Patients Are Saying: 10-Star Holistic Care

Don’t just take our word for it—hear from the families who have trusted us with their health for over a decade.

"Look no further; this is the best dentistry. I've been coming here for 12 years and I would give it 10 stars if I could. Everyone that works here is amazing."

— Noah K.

"My daughter and I were here since my daughter was 7. We had all kinds of oral care including braces and Invisalign. All the staff and doctors are really professional and caring. It’s rare to find a place that treats you like family for so many years."

 — J L.

"Well Being Dentistry is outstanding — caring, patient, and incredibly kind. Dr. Pak and her team always listen, explain clearly, and go above and beyond to ensure you are comfortable with your treatment plan"

— Jon S.

Real results from our Santa Clara neighbors.

Why Our Results Are Different: The Systemic Impact

Unlike traditional “smile galleries” that only focus on the surface, our success stories reflect systemic improvements. When you see a beautiful smile on this page, remember that it was achieved using:

The full professional team at Wellbeing Dentistry, dressed in scrubs and lab coats, smiling together outside the practice.

Serving the Santa Clara and San Jose community for over a decade, we have become the trusted home for families seeking a biological alternative to traditional dentistry. Our patients consistently recognize us as the best holistic dentist Santa Clara, and we are proud to be a top-rated biological dentist in the South Bay.

Are you ready to be our next success story? Whether you need a complex biological reconstruction or a gentle, fluoride-free cleaning for your child, we are ready to provide the 10-star care you deserve.

Your Story Starts Here

FIND US HERE

3993 Stevens Creek Blvd, Santa Clara, CA 95051